Tutti gli articoli di Sanità
PHOTO
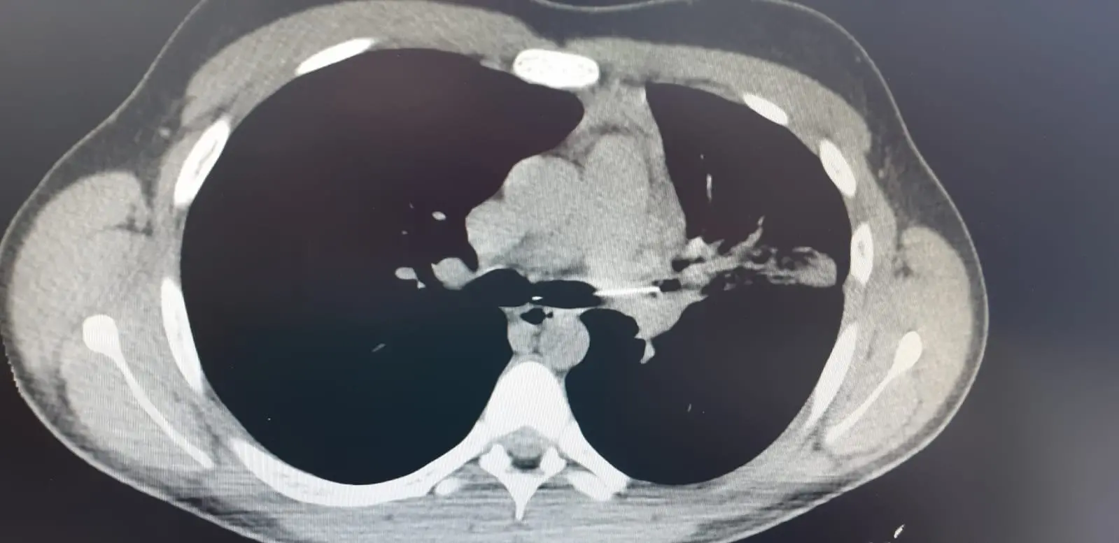
Nei giorni scorsi, l’equipe della U.O.C. di Chirurgia Toracica, diretta dal dr. Baldassare Mondello, ha eseguito una broncoscopia in anestesia generale in soccorso di un bambino che aveva accidentalmente inalato un ago.
La broncoscopia, effettuata con l’assistenza degli anestesisti dr.ssa Marilena Napolitano e dr. Pasquale Palumbo, e dei tecnici di Anestesia, dr.ssa Angela Solano e dr. Vincenzo Trunfio, ha evidenziato l’estremo distale adeso alla parete del bronco principale di sinistra e la testa dell’ago conficcata nel bronco lobare inferiore.

L’estrazione, che presentava un notevole grado di difficoltà per la sede e, soprattutto, per le caratteristiche del corpo estraneo, è stata effettuata dal Direttore di Chirurgia Toracica in sinergia con gli anestesisti e l’equipe infermieristica (strumentista: Francesca Ragona; infermiere di sala: Fabrizio Longo).
Il corpo estraneo è stato rimosso in urgenza, prevenendo temibili complicanze quali la perforazione di un’arteria o vena polmonare.

