Tutti gli articoli di Salute
PHOTO
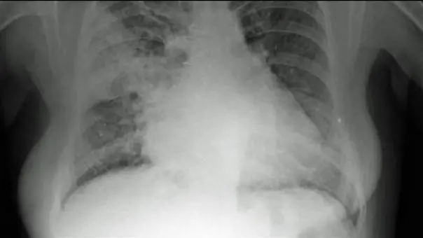
Particelle di grasso killer che, liberate in seguito alla distruzione delle cellule adipose, viaggiano nel sangue raggiungendo più organi e che, una volta arrivate nei polmoni, si appiattiscono sugli alveoli formando una membrava che li avvolge e toglie il respiro: è il meccanismo all’origine delle polmoniti bilaterali da Covid-19, ricostruito per la prima volta dal gruppo di ricerca italiano pubblicato sull’International Journal of Obesity. Ci sono voluti quasi due anni di lavoro per ricostruirlo, ma alla fine il quadro è completo, grazie alla ricerca coordinata da Saverio Cinti, dell’Università Politecnica delle Marche, e condotta in collaborazione con l’Università di Milano e con l’Université Còte d’Azur.
I nuovi dati, raccolti dai tessuti di 19 individui deceduti per Covid-19 e di 23 morti per altre cause, confermano l’ipotesi pubblicata nel 2020 dallo stesso gruppo di ricerca, ossia che la malattia causata dal virus SarsCoV2 «determina embolie grassose responsabili delle polmoniti bilaterali», ha detto Cinti all’ANSA. «Le implicazioni per la terapia sono importanti – ha aggiunto – perché, secondo me e i farmacologi che hanno partecipato alla ricerca, sarebbe bene intervenire il più precocemente possibile con farmaci antinfiammatori liposolubili». Farmaci di questo tipo, in grado di sciogliersi nei grassi, permetterebbero di aggredire i lipidi liberati nel sangue dopo la distruzione delle cellule adipose. Quest’ultimo fenomeno avviene perchè nelle persone obese le cellule adipose sono costantemente sottoposte alla richiesta di immagazzinare più grassi e progressivamente si ingrandiscono e accumulano stress, fino a disgregarsi e a morire.

