Il 14 novembre l’azienda sanitaria aderisce alla campagna internazionale con azioni dedicate alla diagnosi precoce, agli stili di vita sani e agli strumenti digitali per valutare il rischio diabetico
All’Ordine dei Medici confronto tra vertici FNOMCeO, professionisti e studenti per una nuova cultura sanitaria fondata sulle differenze biologiche e sull’equità delle cure
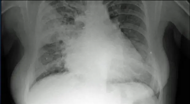
Secondo uno studio pubblicato su Nature, le persone che hanno contratto il Coronavirus, già a 30 giorni dalla malattia e fino ad un anno dalla guarigione, hanno un aumentato rischio di sviluppare problemi al cuore
Una seconda giornata, dopo il successo della prima, lo scorso 4 dicembre, per garantire il diritto alla salute e la promozione della dignità delle fasce più deboli
La ricerca coordinata da Saverio Cinti, dell'Università Politecnica delle Marche, e condotta in collaborazione con l'Università di Milano e con l'Université Còte d'Azur
Sono tante le patologie che non sono ancora riconosciute dalle istituzioni e milioni le donne che continuano a soffrire, sentire sminuito il proprio dolore e pagare cure molto costose
Pierangelo Clerici, presidente dell’Associazione microbiologi clinici italiani: «Con il molecolare di ultima generazione riusciamo a vedere una presenza che va da 10 a 100 "virus"»
Una donna prossima al parto è risultata positiva ad entrambi i virus. Non è un nome scientifico: i medici hanno ribattezzato così l'infezione simultanea al Covid e all'influenza
Per Pierangelo Clerici, presidente dell’Associazione microbiologi clinici italiani e della Federazione italiana società scientifiche di laboratorio, «il test antigenico può dare un range di falsi negativi compreso tra il 10 e il 25 per cento, a seconda che venga effettuato da una persona esperta»
I responsabili di Linfovita: «L'obiettivo di trasmettere messaggi positivi alla collettività in termini di lotta e sopravvivenza ai linfomi e dare sempre più risalto alla centralità del paziente»
Uno studio ha dimostrato che ascoltando in sequenza una serie di parole rilassanti si facilita il sonno. Ma anche camminare all’aria aperta in mezzo al verde aiuta
La tecnica consiste nell’inserire all’interno della massa tumorale uno o più aghi per iniettare un gas che congela il tumore, impedendogli di continuare ad alimentarsi